Prt Hws Erfahrungen Forum

Prt Hws Erfahrungen Forum. CT gesteuerte Schmerztherapie Mir haben Physio, PRT-Spritzen (aber nur in den Vorfall, nicht die Vorwölbung), Schmerzmittel, Muskelentspannungsmittel und Wärme geholfen. Diese Krämpfe sind jetzt in den 7 Wochen nach der letzten Spritze etwas weniger.

Spinalkanalstenose HWS 3 Übungen für zu Hause (SOFORT anwendbar) YouTube
Spinalkanalstenose HWS 3 Übungen für zu Hause (SOFORT anwendbar) YouTube from www.youtube.com

Gespritzt wird Betäubungsmittel, Tramadol und Cortison Schlingentisch und Strom / Wärme hat nicht gerade viel gebracht bislang (allerdings war ich auch erst 4 mal dort)..

Spinalkanalstenose HWS 3 Übungen für zu Hause (SOFORT anwendbar) YouTube

Ich werde mich weiter Informieren, bei Ärzten,bevor ich mir die Spritzen geben lasse.(ich bin ein Angsthase) Aber nachdem was hier so im Forum steht, freue ich mich nicht gerade auf diese Therapie Dieses Thema im Forum "Sonstige Medikamente und Schmerztherapie" wurde erstellt von Flocke_79, 16

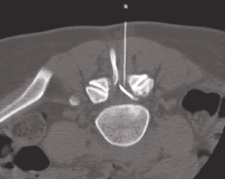
Periradikuläre Therapie (PRT) Dr. Daniel NiehuesPaas Praxisvertretung Orthopädie. Diese Krämpfe sind jetzt in den 7 Wochen nach der letzten Spritze etwas weniger. Bandscheibenvorwölbung an der HWS und zum Glück nur die "Vorstufe" zum Bandscheibenvorfall an der LWS (Lumbago)

CT gesteuerte Schmerztherapie. Momentan nehme ich Tilidin 50/4 Tabl und zur Ergänzung noch Tilidin Tropfen gegen den Schmerz.Gehen geht nur mit Rollator Schlingentisch und Strom / Wärme hat nicht gerade viel gebracht bislang (allerdings war ich auch erst 4 mal dort)..